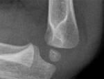
Elbow injuries
- ant fat pad normally seen in children
- post fat pad NOT usually seen as buried in intercondylar fossa
- unlikely intra-articular injury if fat pad sign not +ve
- likely occult # if fat pad sign +ve and # not visible
Radial head fractures
| stable | • isolated undisplaced or minimally displaced fracture • nearly always impacted, with intact periosteum, and are unlikely to displace. • Mx - conservative. Stiffness is the main adverse outcome and neither immobilisation or early mobilisation are necessarily superior |
|---|---|
| unstable | • usually associated with other bony or ligamentous injury • usually involve several detached, mobile fragments with little or no soft-tissue attachment • often associated with an elbow dislocation, proximal ulna fracture, or injury to the interosseous ligament of the forearm |
Essex-Lopresti fracture-dislocation
- fracture of the radial head, dislocation of the distal radioulnar joint and rupture of the antebrachial interosseous membrane
- possibly only 20% recognised at 1st presentation as XRay may be unremarkable
Monteggia fracture-dislocation
- fracture of the ulnar shaft with concomitant dislocation of the radial head.
Galeazzi fracture-dislocation
- fracture of the distal part of the radius with dislocation of distal radioulnar joint and an intact ulna.
- A Galeazzi-equivalent fracture is a distal radial fracture with a distal ulnar physeal fracture.
- due to a fall on an outstretched hand (FOOSH) with the elbow in flexion
- type I: dorsal displacement, type II: volar displacement




